Este Remédio Caseiro vai deixar os seus Dentes Branquinhos em Segundos!

Experimente!

  

Claro que existem vários métodos para clarear os dentes e este é mais um, que você pode experimentar. Prepare-se para fazer o seu branqueador dentífrico completamente natural. Será necessário:

  • 2 ou 3 Morangos – O ácido presente nos morangos é natural e ajuda a remover os restos de alimentos e as placas bacterianas. Além disso, os morangos contêm ácido fólico, que clareia os dentes e remove a coloração, especialmente o amarelado.
  • ½ colher de chá de fermento – O fermento funciona de maneira abrasiva, o que vai eliminar as manchas existentes dos seus dentes.

Como fazer:

  • Ponha tudo num recipiente e misture os morangos com o fermento
  • Amasse até que obtenha uma papa
  • Depois de esfregar os dentes, passe a escova pelo preparado branqueador e escove mais uma vez
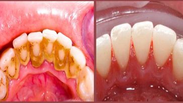
  • Repetia esse processo por algumas semanas, vai notar uma diferença clara: dentes muito mais brancos!

Para manter a saúde dos seus dentes intacta, não se esqueça de usar sempre fio dental após a escovagem de dentes, para remover os restos de comida que ficam nas gengivas.

Lembre-se que esta pasta tem como função, clarear os dentes. Deve e pode ser usada diariamente e é um complemento a pasta de dentes normal.

O segredo para um belo sorriso, está nos morangos com fermento e em altura de crise, uma limpeza dental não é nada barata… Comer morangos também ajuda neste processo.

Já agora lembro-lhe, os morangos são ricos em vitamina A, C, E, B5 e B6, tem minerais, cálcio, potássio, ferro, selénio e magnésio… Coma morangos!

Vamos poupar uma ida ao dentista, por isso, seja amigo dos seus amigos e partilhe a boa nova!

Diz-nos se gostaste! A tua opinião ajuda-nos a melhorar!