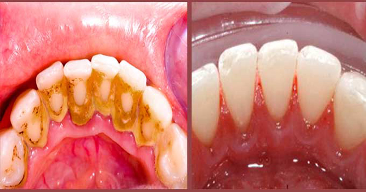
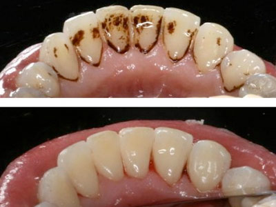
Com esta dica genial, e sem efeitos secundários, vais puder ficar com os dentes brancos e brilhantes, removendo a placa bacteriana, em apenas 5 minutos, e sem saíres de casa. Aproveita já, e melhora o teu sorriso! O tártaro é a acumulação de sais de cálcio e de fósforo na superfície dos dentes.
Esta placa bacteriana acumula-se através de restos alimentares, saliva e microrganismos.

Existem 2 tipos de tártaro:
- Sub-gengival – Este localiza-se debaixo das gengivas, possui uma consistência firme relativamente ao supra-gengival com uma coloração enegrecida ou esverdeada
- Supra-gengival – Encontra-se acima da borda das gengivas apresentando uma coloração branca ou amarelada. É removível com facilidade
A principal causa do tártaro deve-se a uma alimentação demasiado ácida. E a falta de higiene dentária contribui também para o desenvolvimento da placa bacteriana.
Alimentos e suplementos benéficos para evitar o tártaro:

- Frutas frescas e vegetais crús – rúcula, espinafres, acelgas, alface e maçãs
- Argila branca – ajuda a alcalinizar o nosso organismo e o pH da boca
- Água do mar – limpa e fortalece os dentes ajudando também a alcalinizar o pH da boca
- Stévia – adoçante natural benéfico para os dentes
Técnicas para remoção e diminuição do tártaro:

Pó de carvão activo – Ajuda a aclarear os dentes e é um dos tratamentos odontológicos mais procurados na atualidade. Tal como o bicarbonato de sódio o carvão activo não deve ser usado excessivamente e com frequência pois pode tornar-se abrasivo para o esmalte dentário. Ao comprar carvão activo certifique-se que este é de origem vegetal (de madeira, de côco, etc) e não a partir do petróleo. Este produto é facilmente encontrado em lojas de produtos naturais. Aplicação: molhe a escova de dentes com água e ponha um pouco de pó de carvão em cima desta. Esfregue os dentes normalmente e lave com água tépida.

Óleo de girassol ou Óleo de gergelim – Lavagens com estes óleos ajuda a limpar a placa dentária e a remover as toxinas da nossa boca. É especialmente recomendado em casos de infecções bucais, gengivites e destes meio soltos. As suas propriedades anti-fúngicas, anti-bacterianas e anti-inflamatórias fazem deste tratamento um excelente anti-séptico oral. Aplicação: faça gargarejos com óleo de gergelim ou de girassol.

Por fim, não se esqueça de fazer sempre uma correcta higiene oral. Use fio dental antes de se deitar para se certificar que não ficam resíduos alimentares entre os dentes durante toda a noite.
Partilha este artigo nas redes sociais com os teus amigos e familiares!